Skip to main content

Cosmetic Dentistry

Bridge

Restore comfort and confidence

Dental Bridge Treatment with a Natural Feel

A fixed dental bridge replaces missing teeth, helping you speak, chew, and smile with ease. Our experienced team offers safe, clinically led care tailored to your needs.

Book My Consultation

Prefer to Chat?

Frequently
Asked
Questions

View All

Thinking about getting a dental bridge? It’s completely normal to have questions. Below, we’ve answered some common queries to help you feel informed and confident before starting treatment.
  • What is a dental bridge and how does it work?

    A dental bridge is a fixed dental restoration that replaces one or more missing teeth. It works by anchoring an artificial tooth (or teeth) to the natural teeth or dental implants on either side of the gap.

  • What does the treatment process involve?

    Dental bridge treatment typically takes two to three appointments. We begin with a thorough examination, then prepare the supporting teeth, take a scan, and fit a custom-made bridge to restore the gap.

  • How long does a dental bridge last?

    With proper oral hygiene and regular dental check-ups, a dental bridge can last between 5 and 15 years or more. Its lifespan depends on the starting situation, individual care and the materials used. A more accurate estimation of lifespan can be given after a dental assessment.

  • Are there any side effects or risks?

    You may experience mild discomfort, sensitivity, or irritation shortly after placement. These side effects are usually temporary and resolve quickly. We’ll provide guidance to help manage them.

  • What are the benefits of having a dental bridge?

    A dental bridge can improve your ability to chew, support clear speech, and maintain your facial structure. It also prevents neighbouring teeth from shifting into the gap left by a missing tooth.

The Process

  • Pre-Treatment

    Before treatment begins, we’ll carry out a full dental assessment to ensure a bridge is the best option for you. This includes checking the health of surrounding teeth and clearly discussing your options.

  • Treatment

    Treatment involves preparing the adjacent teeth, taking an accurate scan, and fitting a custom-made bridge. In some cases a lab-made temporary bridge is provided so you can assess feel and function before the final bridge is made. We prioritise comfort and functionality throughout the process.

  • Post-Treatment

    Once your bridge is fitted, we’ll provide advice on care and hygiene. Follow-up appointments help ensure a comfortable fit and long-lasting results.

  • Sides Effects & Risks

    Dental bridges are generally safe, though you may experience temporary sensitivity or mild soreness. In rare cases, issues like decay or loosening can occur. Regular dental visits help prevent complications.

Book My Consultation

Avoid Further Dental Complications

Leaving gaps untreated can lead to shifting teeth, bite misalignment, and bone loss. A dental bridge helps preserve your oral health and daily function.

Book My Consultation

Expert Care.
Always.
We offer clinically guided dental bridge treatment that restores function, protects oral health, and helps you smile with confidence.

Book My Consultation

  • Person fitting a clear dental aligner over their upper teeth using both hands against a yellow background

    Expert Care You Can Trust

    Led by dental professionals

    Our skilled clinicians use evidence-based techniques to deliver safe and effective dental bridge solutions tailored to your individual needs.

  • Close-up of a dentist using a dental mirror and scaler to examine a patient's teeth during a dental treatment

    Support Through Every Stage

    Clear, compassionate guidance

    We take the time to explain each step, helping you understand your treatment and feel confident in your decisions.

  • Smiling young woman fitting a clear dental aligner against a bright yellow background

    Natural Feel and Appearance

    Designed with precision

    Each dental bridge is custom-made for a natural look and comfortable fit, restoring your smile and everyday function with minimal disruption.

  • Close-up of a woman's smile showing upper and lower teeth with slight discolouration on a dental bridge treatment page

    Built for Lasting Results

    Ongoing oral health support

    We focus on long-term results, offering aftercare advice and regular reviews to help your dental bridge last.

Your
Trusted
Experts
With Dr. Maini and our leading team of medical professionals, you’re guided by experience, compassion, and integrity - every step of your journey.
Dentist using a drill and mirror tool inside a patient's open mouth during a dental treatment procedure

Book My Consultation

Book Your Dental Bridge Consultation

Let’s find the right solution for your dental needs. Schedule your consultation today and take the first step towards a restored smile.

Chipped Teeth

Young woman with wavy brown hair smiling broadly, wearing a green and white patterned shirt, against a light background.

Trusted Chipped Tooth Treatment

From minor chips to serious fractures, we provide prompt, professional care to restore your comfort, function, and confidence.

Book My Consultation

Prefer to Chat?

Personalised Treatment for Chipped and Fractured Teeth

View All Treatments

Why Timely Treatment Is Important

Delaying treatment for a chipped or fractured tooth can lead to further damage, discomfort, or infection. Early assessment protects your oral health and helps prevent more complex procedures later.

Book My Consultation

Expert Care.
Always.
We offer safe, effective chipped tooth repair tailored to your needs. Every treatment is led by experienced dental professionals focused on your comfort and wellbeing.

Book My Consultation

  • Person fitting a clear dental aligner over their upper teeth against a yellow background

    Clinically Led Treatment Plans

    Experienced, Gentle Dental Care

    Your chipped tooth will be assessed by qualified professionals who recommend the most appropriate treatment based on the extent of the damage and your overall oral health.

  • Dentist using a mirror and dental pick to examine a patient's teeth during a close-up dental check-up

    Urgent Emergency Appointments

    Support When You Need It

    We provide fast-track appointments for chipped or fractured teeth, helping to relieve discomfort quickly and prevent further complications.

  • Smiling young woman inserting a clear dental aligner against a bright yellow background

    Natural-Looking Tooth Repairs

    Restore Comfort and Function

    Our chipped tooth treatments restore both appearance and bite function, using materials that match your natural teeth for a seamless result.

Your
Trusted
Experts
With Dr. Maini and our leading team of medical professionals, you’re guided by experience, compassion, and integrity - every step of your journey.
Dentist in blue gloves using a dental handpiece drill on a patient's chipped teeth during treatment

Book My Consultation

Frequently
Asked
Questions

View All

Have questions about acne treatment? We’ve answered some of the most common concerns below.
  • What should I do if I chip a tooth?

    Rinse your mouth with warm water and apply a cold compress if there’s swelling. Avoid chewing on the affected side and contact us promptly for a professional assessment.

  • Is chipped tooth repair painful?

    Most chipped tooth treatments are minimally invasive and can be done with local anaesthetic if needed. We’ll guide you through the process and ensure you’re comfortable throughout.

  • How is a chipped tooth treated?

    Treatment depends on the severity. Minor chips may be smoothed or filled, while larger fractures might need bonding, veneers, or crowns. We’ll recommend the best option for your situation.

  • Can a chipped tooth heal on its own?

    Tooth enamel doesn’t regenerate, so a chipped tooth won’t heal naturally. Even if it seems minor, it’s important to have it professionally assessed to avoid future problems.

  • How long does chipped tooth treatment take?

    Many chipped tooth treatments can be completed in a single visit. More complex cases may need follow-up appointments. We’ll explain what to expect during your consultation.

Don’t Ignore a Chipped Tooth

Book your appointment today for expert, compassionate care that protects your smile and gives you peace of mind.

Composite Bonding

Composite Bonding

Natural Looking Composite Bonding

Restore confidence with our expertly led composite bonding. This non-invasive treatment is designed to repair damage or enhance your smile without compromising your natural teeth.

Book My Consultation

Prefer to Chat?

Frequently
Asked
Questions

View All

We want you to feel confident at every stage of your journey, so here are answers to the questions patients ask most often.
  • What does composite bonding include?

    Composite bonding involves the artistic application of a high-grade, tooth-coloured resin to the surface of your teeth. It is used to mask imperfections, close gaps, and reshape teeth to create a harmonious smile.

  • How long does the treatment take?

    One of the primary benefits of teeth bonding is efficiency. In many cases, we can complete a full smile enhancement in a single afternoon. Unlike invasive procedures, there is typically no downtime, allowing you to return to your daily routine immediately.

  • Who is a suitable candidate?

    This treatment is ideal for patients looking to fix minor cosmetic issues such as chips, cracks, or gaps between teeth. It is also suitable for those wishing to improve the shape or colour of their teeth without removing natural enamel. A healthy foundation is required, so we will assess your gum and tooth health first.

  • Are the results permanent?

    While composite bonding is durable, it is not permanent. With proper care and regular hygiene appointments, results typically last for several years. However, the composite material may eventually need polishing, repair, or replacement due to normal wear.

  • What are the risks?

    Composite resin is not as strong as natural enamel. As such, there is a small risk of the material chipping or staining over time, particularly if you smoke or consume staining foods and drinks. These issues are easily repairable by your dentist.

The Process

  • Pre-Treatment

    Your journey begins with a comprehensive consultation. We assess your dental health, discuss your aesthetic goals, and select the precise shade of composite resin to match or enhance your natural teeth.

  • Treatment

    The process is generally quick, painless, and non-invasive, often requiring no anaesthetic. The dentist carefully sculpts the resin directly onto your teeth, hardening it with a special light to secure it in place.

  • Post-Treatment

    Once the bonding is cured, we polish the teeth to a natural shine. You can enjoy your new smile immediately. We will provide specific aftercare advice to help maintain the integrity of the bond.

  • Sides Effects & Risks

    Serious side effects are rare. You may experience minor sensitivity immediately after the procedure or feel a difference in your bite, which usually settles within a few days.

Book My Consultation

Smile With Confidence

When the appearance of your teeth holds you back, even subtle changes can make a huge difference. Composite bonding helps align your smile with the best version of yourself.

Book My Consultation

Expert Care.
Always.
Our expertly led team takes a patient-first approach to every composite bonding treatment. We prioritise safety, personalised care, and natural-looking, long-lasting results.

Book My Consultation

  • Person inserting a clear dental aligner over their upper teeth against a yellow background

    Instant Results

    Transform your smile in one visit

    We typically complete the treatment in a single appointment, so you can walk away with your new smile immediately.

  • Close-up of a dentist using a dental mirror and scaler to examine a patient's teeth during a composite bonding treatment

    Minimally Invasive

    No tooth structure removed

    We sculpt the resin onto your teeth without removing healthy enamel, preserving the integrity of your natural smile.

  • Smiling young woman inserting a clear dental aligner against a bright yellow background

    Stress-Free

    Gentle and comfortable care

    As an additive procedure, there is rarely a need for drilling or injections, making it a stress-free experience.

  • Close-up of a woman's smile showing slightly discoloured teeth, a candidate for composite bonding treatment

    Seamless Repair

    Fix cracks, gaps, and chips

    Our experts precisely blend the resin to match your teeth, rendering imperfections invisible and your smile uniform.

Your
Trusted
Experts
With Dr. Maini and our leading team of medical professionals, you’re guided by experience, compassion, and integrity - every step of your journey.
Dentist in blue gloves applying composite bonding to a patient's teeth using a dental handpiece

Book My Consultation

Start Your Journey

Take the next step towards a refreshed, confident smile. Book your consultation today.

Composite Fillings

Young bearded man with curly hair smiling broadly outdoors, with blurred green trees in the background
Discreet, natural-looking cavity repair

Composite Fillings for a Restored, Healthy Smile

Composite fillings provide a tooth-coloured, natural-looking solution for treating cavities or minor damage—blending seamlessly with your smile.

Book My Consultation

Prefer to Chat?

Frequently
Asked
Questions

View All

Here are answers to some of the most common questions about composite fillings. If you have a specific concern, we’re always happy to talk it through with you.
  • What is a composite filling?

    A composite filling is a tooth-coloured material used to repair decayed, chipped, or worn teeth. Made from a blend of resin and fine glass particles, it’s shaped and hardened to match your natural tooth.

  • How long do composite fillings last?

    With good care, composite fillings usually last between 5 and 7 years. Their lifespan depends on oral hygiene, the tooth’s location, and how much pressure it endures when biting.

  • Is getting a composite filling painful?

    The procedure is generally comfortable. A local anaesthetic is used to numb the area, so you shouldn’t feel pain during treatment. Mild sensitivity afterwards is normal and usually short-lived.

  • Can composite fillings be used on front teeth?

    Yes, composite fillings are ideal for front teeth because they can be colour-matched to your natural tooth shade, offering a discreet and aesthetic result.

  • Will people be able to see the filling?

    Composite fillings are designed to be virtually invisible. They’re carefully colour-matched and shaped to blend naturally with your surrounding teeth.

The Process

  • Pre-Treatment

    Before treatment, your dentist will examine the affected tooth and determine whether a composite filling is the best option. This may involve a visual check and, if needed, an X-ray to assess the extent of decay or damage.

  • Treatment

    During the procedure, the tooth is cleaned and any decay is removed. The composite material is then applied in layers, shaped, and hardened with a special light. Once set, it’s polished to match the natural tooth surface.

  • Post-Treatment

    You can usually eat and drink once the anaesthetic wears off. Some temporary sensitivity is normal and should ease within a few days. Maintaining good oral hygiene and regular dental check-ups will help extend the life of your filling.

  • Sides Effects & Risks

    Possible side effects include short-term sensitivity to temperature or pressure. In rare cases, a filling may chip or wear down over time. If you experience discomfort or notice a change in your bite, contact your dentist for a review.

Book My Consultation

Why Timely Treatment Matters

Delaying treatment for cavities can allow decay to progress, leading to pain and more complex procedures such as root canal therapy or even tooth extraction.

Book My Consultation

Expert Care.
Always.
Composite dental fillings offer a safe, effective, and natural-looking way to treat cavities and restore your smile with minimal disruption to your daily life.

Book My Consultation

  • Person inserting a clear dental aligner over their upper teeth against a yellow background

    Natural Appearance

    Blends seamlessly with your smile

    Composite fillings are colour-matched to your natural teeth, making them a discreet choice—especially for visible areas of your mouth.

  • Close-up of a dentist using a dental mirror and scaler to examine a patient's teeth during a composite filling treatment

    Minimally Invasive

    Preserves more of your natural tooth

    Composite fillings bond directly to the tooth, often requiring less removal of healthy tissue compared to other types of fillings.

  • Smiling young woman inserting a clear dental aligner against a bright yellow background

    Safe and Durable

    Proven, long-lasting materials

    The materials used in composite fillings are well-established in dental care, providing strength and durability for everyday use.

  • Close-up of a woman's smile showing composite fillings on upper front teeth with natural-looking tooth-coloured restorations

    Quick Recovery

    Back to normal the same day

    Most patients can return to eating and drinking normally the same day, with little to no downtime following treatment.

Your
Trusted
Experts
With Dr. Maini and our leading team of medical professionals, you’re guided by experience, compassion, and integrity - every step of your journey.

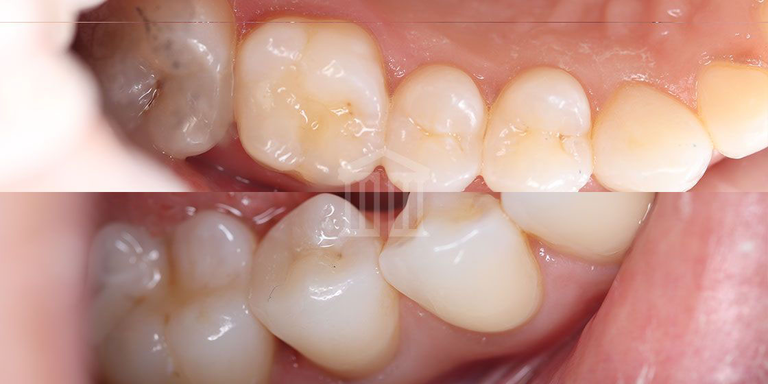
Before

  • Close-up of upper and lower back teeth with tooth-coloured composite fillings visible on the molar surfaces
  • Close-up before and after comparison of molar teeth showing decay treated with tooth-coloured composite fillings

After

Book My Consultation

Book Your Composite Filling Consultation

If you have a cavity or damaged tooth, we’re here to help. Schedule a consultation to explore your treatment options in a calm and professional setting.

Cracked Tooth

Cracked Tooth Treatment You Can Rely On

A cracked or broken tooth can be painful and concerning. We're here to assess, stabilise, and treat your tooth with expert care and attention.

Book My Consultation

Prefer to Chat?

Cracked and Broken Tooth Repair Services

View All Treatments

Why Timely Treatment Is Important

Leaving a cracked or split tooth untreated can lead to infection, further damage, or even tooth loss. Early diagnosis and treatment protect your oral health and comfort.

Book My Consultation

Expert Care.
Always.
We combine clinical expertise with a calm, compassionate approach. Whether you're in pain or simply unsure, we’ll clearly explain your options and support you every step of the way.

Book My Consultation

  • Thorough, Evidence-Based Diagnosis

    Led by clinical expertise

    We use trusted diagnostic techniques to determine the extent of the damage and recommend the most suitable treatment for your specific case.

  • Personalised Treatment for Cracked Teeth

    Focused on your needs

    From minor cracks to more complex fractures, we offer a range of repair options tailored to your condition and comfort.

  • Emergency Care for Cracked or Broken Teeth

    Here when you need us

    If you're experiencing pain or swelling, we prioritise urgent care to ease discomfort and help prevent complications.

Your
Trusted
Experts
With Dr. Maini and our leading team of medical professionals, you’re guided by experience, compassion, and integrity - every step of your journey.

Book My Consultation

Frequently
Asked
Questions

View All

Have questions about acne treatment? We’ve answered some of the most common concerns below.
  • How can I tell if my tooth is cracked?

    Common signs include pain when chewing, sensitivity to hot or cold, or intermittent discomfort. A dental examination is needed to confirm the diagnosis.

  • What are the treatment options for a cracked tooth?

    Treatment depends on the type and severity of the crack. Options may include bonding, a crown, or in some cases, root canal therapy or extraction if the damage is severe.

  • Is a cracked tooth considered a dental emergency?

    Yes—if you're in pain, have swelling, or the tooth feels loose, it's best to seek urgent care. Early treatment helps prevent further damage or infection.

  • Can a cracked tooth heal on its own?

    No, a cracked tooth won’t heal without treatment. While symptoms may temporarily improve, the damage often worsens over time without proper care.

  • Will I need to have the cracked tooth removed?

    Not always. Many cracked or broken teeth can be saved with the right treatment. We’ll assess your tooth and talk you through all suitable options.

Worried About a Cracked Tooth?

Book an assessment today for expert advice and treatment tailored to your needs.

Crooked Teeth

Young man with a broad smile wearing a red jumper, photographed against a grey studio background.

Teeth Straightening for Crooked Teeth

Restore balance to your smile with clinically led teeth straightening treatments designed to gently align crooked, crowded, or misaligned teeth.

Book My Consultation

Prefer to Chat?

Personalised Teeth Straightening Treatments

View All Treatments

Why Fixing Crooked Teeth Matters

Crooked or misaligned teeth affect more than just your appearance; they can impact oral hygiene, speech, and bite function if left untreated.

Book My Consultation

Expert Care.
Always.
We blend clinical expertise with patient-focused care to make your teeth straightening journey safe, comfortable, and effective.

Book My Consultation

  • Person fitting a clear dental aligner over their upper teeth against a yellow background

    Clinically Guided, Expert Care

    Led by Dental Experts

    Your treatment is overseen by experienced clinicians skilled in managing a wide range of alignment issues.

  • Dentist using a mouth mirror and dental probe to examine a patient's teeth during a check-up

    Gentle, Thoughtful Treatment

    Comfort is Key

    We customise each treatment plan to minimise discomfort and support your confidence every step of the way.

  • Smiling young woman inserting a clear dental aligner over her teeth against a bright yellow background

    Discreet, Flexible Solutions

    Fits Into Your Lifestyle

    Choose from a range of teeth straightening options—including nearly invisible aligners—designed to suit your lifestyle and dental goals.

Your
Trusted
Experts
With Dr. Maini and our leading team of medical professionals, you’re guided by experience, compassion, and integrity - every step of your journey.
Dentist in blue gloves using dental tools to examine a male patient wearing red protective glasses

Book My Consultation

Frequently
Asked
Questions

View All

Have questions about acne treatment? We’ve answered some of the most common concerns below.
  • What causes crooked or misaligned teeth?

    Crooked teeth can result from genetics, early loss of baby teeth, thumb sucking, or overcrowding. A professional assessment will help identify the cause and recommend the best treatment.

  • What are the treatment options for straightening teeth?

    Depending on your needs, options may include clear aligners, fixed braces, or other orthodontic solutions. We'll guide you through the most suitable choice during your consultation.

  • Is teeth straightening only for cosmetic reasons?

    No. While many people seek treatment for aesthetic reasons, straightening your teeth can also improve oral hygiene, reduce wear, and support proper bite function.

  • How long does teeth straightening take?

    The length of treatment depends on the complexity of your case. Most plans range from a few months to over a year. We'll give you a personalised timeline after your assessment.

  • Is teeth straightening painful?

    Some mild discomfort is normal at the beginning or after adjustments. We use gentle techniques and provide guidance to help you manage any sensitivity.

Take the First Step Towards Straighter Teeth

Book your consultation today to explore safe, effective teeth straightening options - led by experienced dental professionals.

Crowns

Restore strength and confidence

Dental crown treatment from experienced clinicians

Whether you're repairing a damaged tooth or enhancing your smile, dental crowns made with precision deliver lasting, natural-looking results backed by clinical experience.

Book My Consultation

Prefer to Chat?

Frequently
Asked
Questions

View All

We know that choosing a dental crown raises important questions. Below are some of the most common queries we receive from patients, answered clearly to help you make an informed decision.
  • What is a dental crown and why might I need one?

    A dental crown is a custom-made cap placed over a damaged or weakened tooth. It restores the tooth’s shape, strength, and function - commonly used after a large filling, root canal, or to protect a cracked or broken tooth.

  • How long does a dental crown last?

    With good care, dental crowns typically last between 10 and 15 years. Their lifespan depends on oral hygiene, tooth wear, and the materials used.

  • Will the crown look natural?

    Yes. Each crown is matched to the colour, shape, and size of your natural teeth. Materials such as porcelain or ceramic provide a realistic appearance that blends seamlessly with your smile.

  • Is the dental crown procedure painful?

    The procedure is performed under local anaesthetic, so you shouldn’t feel pain during treatment. Some sensitivity may occur afterwards, but it usually settles quickly.

  • Can a dental crown be replaced if it’s damaged?

    Yes. If a crown becomes loose, cracked, or worn, we can assess and replace it. Early intervention helps protect the underlying tooth and prevent further issues.

The Process

  • Pre-Treatment

    Before treatment, we carry out a detailed assessment of your tooth. This includes checking for decay or damage, discussing your treatment options, and taking precise measurements and scans to ensure your crown fits comfortably and functions properly.

  • Treatment

    The dental crown procedure usually involves two visits. During the first, we prepare the tooth and take a scan. A temporary crown is fitted while your custom crown is created. At your second visit, we fit and adjust the permanent crown for a secure, natural finish.

  • Post-Treatment

    After your crown is fitted, you may experience mild sensitivity or discomfort, which typically improves within a few days. Maintaining good oral hygiene and attending regular dental check-ups will help extend the life of your crown and keep your tooth healthy.

  • Sides Effects & Risks

    As with any dental procedure, there are some risks involved. These may include temporary sensitivity, discomfort, or, in rare cases, the crown becoming loose. We take every precaution to minimise these risks and support you throughout your treatment journey.

Book My Consultation

Leaving a damaged tooth untreated can lead to bigger problems

Delaying treatment may result in further tooth damage, infection, or even tooth loss. A dental crown helps protect and restore your tooth before complications develop.

Book My Consultation

Expert Care.
Always.
Our dental crown service combines clinical precision with a caring, personalised approach - providing reliable solutions tailored to your needs and comfort.

Book My Consultation

  • Close-up of a person fitting a clear dental aligner over their upper teeth against a yellow background

    Clinically-led expertise

    Experienced dental professionals

    Your treatment is provided by qualified clinicians with extensive experience in restorative and cosmetic dentistry.

  • Close-up of a dentist using a dental mirror and scaler to examine a patient's teeth and gums during a dental crown treatment

    Tailored to your smile

    Natural-looking results

    Each dental crown is carefully matched in colour and shape to blend beautifully with your natural teeth for a seamless finish.

  • Smiling young woman inserting a clear dental aligner against a bright yellow background

    Comfort-first care

    Gentle, reassuring process

    We take the time to explain every step and ensure you feel informed and comfortable throughout your treatment.

  • Close-up of a woman smiling, showing upper and lower teeth with dental crowns fitted on the front teeth.

    Durable materials

    Designed to last

    We use high-quality materials selected for their strength, longevity, and biocompatibility to support your long-term oral health.

Your
Trusted
Experts
With Dr. Maini and our leading team of medical professionals, you’re guided by experience, compassion, and integrity - every step of your journey.

Before

Before and after dental crowns treatment showing stained, uneven teeth transformed into uniform, whiter teeth

After

Book My Consultation

Book your dental crown consultation

Speak with one of our experienced clinicians to find out if a dental crown is right for you. We're here to help you restore your smile with confidence.

Dentures

Regain confidence in your smile

Comfortable and Natural-Looking Dentures

Whether you're replacing missing teeth or enhancing your smile, our expertly fitted dentures are designed to feel comfortable, function effectively, and look beautifully natural.

Book My Consultation

Prefer to Chat?

Frequently
Asked
Questions

View All

Choosing dentures is a personal journey, and it’s perfectly normal to have questions. We’ve answered some of the most frequently asked queries to help you feel informed and supported every step of the way.
  • What types of dentures are available?

    We provide full dentures for those missing all teeth in an arch, partial dentures to replace several teeth, and natural-looking dentures for an enhanced natural appearance. All options are removable and customised to suit your needs.

  • Will dentures feel uncomfortable or loose?

    Modern dentures are carefully crafted to fit your mouth. While there’s a short adjustment period, most patients adapt quickly with little discomfort. If any fit issues arise, we can often make minor adjustments to improve comfort.

  • How long do dentures last?

    With proper care and regular maintenance, dentures can last between 5 and 10 years - and often longer, depending on the individual situation. As your mouth naturally changes over time, relining or replacement may be needed to maintain a secure, comfortable fit.

  • Can I eat normally with dentures?

    Yes, although it may take a little time to adjust. Start with softer foods and gradually reintroduce a wider variety. We’ll offer guidance on techniques to help you chew comfortably and confidently.

  • How do I clean and care for dentures?

    Clean your dentures daily using a soft brush and non-abrasive denture cleaner. Soak them overnight in a denture solution and rinse thoroughly before wearing. Regular dental check-ups help keep your mouth healthy.

The Process

  • Pre-Treatment

    At your initial consultation, we’ll assess your oral health, talk through your goals, and explain the denture options available. We may take impressions or digital scans to plan your treatment with precision and comfort.

  • Treatment

    The fitting process involves crafting custom dentures using detailed impressions. We’ll ensure a precise fit, and you’ll have a chance to try them on and request any adjustments before final placement.

  • Post-Treatment

    After fitting, we’ll provide clear care instructions and follow up to check comfort and function. Our team is always available for any adjustments or questions as you settle into life with your new dentures.

  • Sides Effects & Risks

    Common side effects include mild soreness, increased saliva, or initial difficulty with speaking or eating. These usually improve with time. We’ll monitor your progress and address any ongoing concerns promptly.

Book My Consultation

Missing teeth impact more than your smile

Untreated tooth loss can affect your ability to eat, alter facial structure, and lower self-confidence. Dentures help restore function and support your overall oral health.

Book My Consultation

Expert Care.
Always.
Our dentures are professionally designed, crafted with care, and tailored to help you speak, eat, and smile with comfort and confidence.

Book My Consultation

  • Person fitting a clear dental aligner over their upper teeth against a yellow background

    Precision-Fit Dentures

    Crafted for lasting comfort

    Each set is uniquely shaped to your mouth for a secure, comfortable fit that supports natural appearance and everyday function.

  • Close-up of a dentist using a dental mirror and scaler to examine a patient's white teeth during a dental check-up

    Patient-Focused Care

    Compassionate, clear support

    We take the time to explain your options clearly, answer all your questions, and ensure you feel confident throughout your treatment journey.

  • Young woman smiling whilst fitting a clear dental aligner against a bright yellow background

    Clinically Guided Treatment

    Led by dental professionals

    Our denture services are delivered by experienced professionals using evidence-based techniques and high-quality materials.

  • Close-up of a smiling woman's mouth showing natural-looking upper and lower teeth with slight discolouration

    Versatile Denture Solutions

    Tailored to fit your lifestyle

    We offer full, partial, natural-looking, and removable dentures, customised to suit your specific needs, preferences, and daily routine.

Your
Trusted
Experts
With Dr. Maini and our leading team of medical professionals, you’re guided by experience, compassion, and integrity - every step of your journey.
Dentist wearing a blue turban, mask and gloves examining a patient's mouth using dental tools in a clinic

Book My Consultation

Book Your Denture Consultation

Schedule a no-obligation appointment to explore your denture options and receive expert advice tailored to your oral health and personal goals.

Full Smile Makeover

Rediscover confidence in your smile

Full Smile Makeover Treatments Tailored to You

A Full Smile Makeover addresses both cosmetic and functional dental concerns through a personalised treatment plan designed around your oral health, goals, and lifestyle.

Book My Consultation

Prefer to Chat?

Frequently
Asked
Questions

View All

We know you may have questions before starting your Full Smile Makeover. Here are answers to some of the most common queries we receive from patients.
  • What does a Full Smile Makeover include?

    A Full Smile Makeover can involve a combination of treatments such as veneers, crowns, teeth whitening, orthodontics, and restorative procedures. Each plan is tailored to your individual clinical needs and smile goals.

  • How long does a Full Smile Makeover take?

    The timeframe varies depending on the complexity of your treatment plan. Some smile makeovers are completed in just a few visits, while others may take several months, especially if healing or staged procedures are required.

  • Is a Full Smile Makeover painful?

    Most procedures involve little to no discomfort and are carried out under local anaesthetic when necessary. We prioritise your comfort at every stage of treatment.

  • Will I need time off work for treatment?

    This depends on the treatments involved. Many procedures have minimal or no downtime, though some may require short recovery periods. We’ll provide clear guidance in advance so you can plan accordingly.

  • How long will the results last?

    With good oral hygiene and regular dental check-ups, the results of a Full Smile Makeover can last for many years. Some aspects, such as teeth whitening, may require occasional maintenance.

The Process

  • Pre-Treatment

    Before starting your Full Smile Makeover, we conduct a comprehensive consultation. This includes an in-depth oral health assessment, digital imaging, and a conversation about your goals. We’ll explain all suitable options and present a clear, personalised plan.

  • Treatment

    Your bespoke treatment plan may include cosmetic and restorative procedures like veneers, crowns, bonding, or orthodontic alignment. Each stage is planned for safety, comfort, and lasting results.

  • Post-Treatment

    After your makeover, we provide customised aftercare advice and schedule follow-up appointments as needed. Our goal is to support your long-term oral health and help you maintain your beautiful new smile.

  • Sides Effects & Risks

    As with any dental treatment, there may be minor risks such as temporary sensitivity, mild discomfort, or an adjustment period. We’ll explain all potential side effects beforehand and monitor your progress closely to ensure a smooth recovery.

Book My Consultation

Why timely treatment matters

Delaying dental care can lead to further damage, discomfort, and a loss of self-confidence. Early intervention helps protect your oral health and overall wellbeing.

Book My Consultation

Expert Care.
Always.
Our clinically led, personalised Full Smile Makeovers prioritise your comfort, safety, and long-term dental health - helping you feel confident at every stage of your transformation.

Book My Consultation

  • Person fitting a clear dental aligner over their upper teeth against a yellow background

    Clinically tailored treatment plans

    Built around your oral health

    Each smile makeover is grounded in a detailed clinical assessment to ensure your treatment is safe, effective, and aligned with your personal goals.

  • Close-up of a dentist using a dental mirror and scaler to examine a patient's teeth during a smile makeover treatment

    Expert, compassionate care

    Delivered by experienced dental professionals

    Our skilled team combines advanced training with a calm, respectful approach—putting your comfort and understanding first.

  • Young woman inserting a clear dental aligner against a bright yellow background, smiling confidently in a white knit jumper

    Natural, long-lasting results

    Aesthetic and functional improvements

    We aim to create a natural-looking smile that enhances your appearance while supporting healthy oral function.

  • Close-up of a woman's smile showing natural teeth with slight discolouration, highlighting the need for a full smile makeover

    Clear, honest communication

    Know what to expect at every step

    We explain each stage in clear language, answer all your questions, and empower you to make informed decisions about your care.

Your
Trusted
Experts
With Dr. Maini and our leading team of medical professionals, you’re guided by experience, compassion, and integrity - every step of your journey.
Dr Karan Maini and Dr Stefania Stincone, Zenith principal dentists, examining dental equipment together in a clinic

Book My Consultation

Ready to transform your smile?

Book a consultation today to discover how a Full Smile Makeover can restore comfort, function, and confidence in your smile.

Gummy Smile

Expert Gummy Smile Treatment for a Confident Smile

Enhance your confidence with gentle, clinically guided gummy smile correction tailored to your unique needs.

Book My Consultation

Prefer to Chat?

Our Gummy Smile Correction Services

View All Treatments

Why Treating a Gummy Smile Matters

Excess gum showing when you smile can affect your self-confidence. If left unaddressed, it may also impact oral hygiene or contribute to bite issues over time.

Book My Consultation

Expert Care.
Always.
We prioritise precision, safety, and long-lasting results. Every treatment is led by medical professionals, with clear guidance and support throughout your journey.

Book My Consultation

  • Personalised Treatment Plans

    Tailored to Your Smile

    We evaluate your unique gum-to-tooth ratio and facial harmony to recommend the most effective method for correcting your gummy smile.

  • Medically Guided Procedures

    Led by Clinical Expertise

    All procedures are performed by qualified clinicians using safe, proven techniques such as gum contouring or targeted muscle adjustment.

  • Supportive Patient Experience

    Comfort and Clarity First

    We clearly explain your options, answer any questions, and ensure you feel informed and comfortable every step of the way.

Your
Trusted
Experts
With Dr. Maini and our leading team of medical professionals, you’re guided by experience, compassion, and integrity - every step of your journey.

Book My Consultation

Frequently
Asked
Questions

View All

Have questions about acne treatment? We’ve answered some of the most common concerns below.
  • What causes a gummy smile?

    A gummy smile can result from excess gum tissue, overactive upper lip muscles, or the way your teeth and jaw have developed. We assess all contributing factors before recommending treatment.

  • What are my treatment options?

    Treatment options may include gum contouring to reshape excess tissue, muscle relaxation therapy to reduce upper lip movement, or orthodontics in certain cases. We’ll guide you through the best approach for your needs.

  • Is gummy smile treatment painful?

    Most treatments involve minimal discomfort and are carried out using local anaesthetic if required. We ensure you know what to expect and feel at ease throughout the process.

  • How long does recovery take?

    Recovery time depends on the treatment type. Gum contouring may cause mild sensitivity for a few days, while other procedures typically involve little to no downtime.

  • Will the results look natural?

    Absolutely. Our aim is to create a well-balanced smile that complements your natural features. We take a conservative, aesthetics-focused approach to ensure natural-looking results.

Take the First Step Towards a Balanced, Confident Smile

Book a consultation to discover safe, professional gummy smile treatment tailored just for you.

Overbite

Two young women lying on grass laughing with bright white teeth, viewed from above

Expert Overbite Treatment You Can Rely On

Correcting an overbite isn’t just about appearance; it can enhance comfort, oral function, and long-term dental health. Our experienced clinical team is here to guide you through safe, effective overbite treatment options.

Book My Consultation

Prefer to Chat?

Complete Overbite Correction Solutions

View All Treatments

Why Overbite Treatment Is Important

Left untreated, overbites can cause jaw pain, uneven tooth wear, speech issues, and reduced confidence. We’re here to help you address these concerns with expert care and clear guidance.

Book My Consultation

Expert Care.
Always.
We’re dedicated to providing clinically proven overbite treatment in a calm, supportive environment. You’ll receive expert care, personalised advice, and transparent information throughout your journey.

Book My Consultation

  • Person using both hands to fit a clear dental aligner over their upper teeth against a yellow background

    Personalised Treatment Planning

    Tailored to your needs

    Every bite is different. We assess your unique alignment and jaw position to recommend the most suitable overbite correction for your long-term dental health.

  • Close-up of a dentist using a dental mirror and scaler to examine a patient's teeth for an overbite

    Clinically Guided Overbite Care

    Led by dental professionals

    Our dental team follows evidence-based techniques to ensure your overbite treatment is safe, effective, and aligned with your oral health goals.

  • Young woman inserting a clear dental aligner against a bright yellow background, smiling confidently

    Support Every Step of the Way

    Comfort and clarity

    We clearly explain each stage of your overbite treatment, so you feel informed, reassured, and confident in your care plan.

Your
Trusted
Experts
With Dr. Maini and our leading team of medical professionals, you’re guided by experience, compassion, and integrity - every step of your journey.
Dentist in blue latex gloves using a rotary dental tool inside a patient's open mouth

Book My Consultation

Frequently
Asked
Questions

View All

Have questions about acne treatment? We’ve answered some of the most common concerns below.
  • How do I know if I need overbite treatment?

    Signs include jaw discomfort, overlapping front teeth, difficulty chewing, or changes in facial alignment. A professional dental assessment can confirm if treatment is needed.

  • What are the options for correcting an overbite?

    Overbite correction may involve braces, clear aligners, or sometimes jaw alignment procedures. We’ll recommend the best option based on your individual needs.

  • Is overbite treatment painful?

    Some mild discomfort is common during adjustment phases, but it’s usually manageable. We’ll explain what to expect and how to stay comfortable throughout your treatment.

  • How long does overbite treatment take?

    Treatment duration depends on the severity of the overbite and the chosen method, typically ranging from several months to a few years. We’ll provide a clear timeline after your assessment.

  • Can adults fix their overbite?

    Absolutely. Overbite correction is effective for adults as well as younger patients. We customise treatment to suit your age, lifestyle, and oral health.

Book Your Overbite Consultation Today

Take the first step towards a healthier, more comfortable bite. Schedule a consultation to explore safe, expert-led overbite treatment options with our experienced team.

Stained Teeth

Close-up of a woman smiling with bright, white teeth against a dark background

Professional Treatment for Stained Teeth

If yellow, brown, or discoloured teeth are affecting your confidence, our clinically led treatments can safely restore a brighter, healthier-looking smile.

Book My Consultation

Prefer to Chat?

Effective Treatment Options for Stained Teeth

View All Treatments

Why Addressing Tooth Staining Is Important

Tooth discolouration affects more than just your appearance; it can signal underlying dental issues or impact your self-esteem in everyday life.

Book My Consultation

Expert Care.
Always.
We treat stained teeth with clinical care and precision. Our team identifies the cause - be it surface staining, internal discolouration, or lifestyle factors - before recommending the most effective solution. Your comfort, safety, and informed choice are at the heart of our approach.

Book My Consultation

  • Person inserting a clear dental aligner over their upper teeth against a yellow background

    Comprehensive Assessment First

    Clinically Led Expertise

    We begin with a thorough evaluation to determine the type and cause of your tooth staining, ensuring you receive the most appropriate treatment plan.

  • Close-up of a dentist using a dental mirror and scaler to examine a patient's white teeth during a check-up

    Personalised Solutions That Work

    Treatment Designed for You

    From professional cleaning to whitening or restorative treatments, we tailor our approach to suit your dental health and desired results.

  • Smiling young woman inserting a clear dental aligner against a bright yellow background

    Clear Guidance at Every Step

    Supportive, Transparent Care

    We explain each stage of your treatment clearly, so you feel confident, informed, and supported throughout your journey.

Your
Trusted
Experts
With Dr. Maini and our leading team of medical professionals, you’re guided by experience, compassion, and integrity - every step of your journey.
Two masked dentists wearing gloves treat a patient under a bright dental lamp in a clinical surgery

Book My Consultation

Frequently
Asked
Questions

View All

Have questions about acne treatment? We’ve answered some of the most common concerns below.
  • What causes stained or discoloured teeth?

    Tooth staining can be caused by certain foods, drinks, smoking, medication, poor oral hygiene, or natural ageing. Some stains are external (extrinsic), while others occur within the tooth (intrinsic). A clinical assessment helps identify the cause and best treatment.

  • Can yellow teeth be whitened safely?

    In most cases, yes. We offer safe, dentist-supervised whitening treatments that are effective for many types of discolouration. We'll assess your suitability during a consultation and explain your options clearly.

  • Is tooth staining purely cosmetic?

    Not always. While many stains are cosmetic, some may point to enamel erosion, decay, or other dental concerns. That’s why a professional assessment is essential before starting any treatment.

  • How long do teeth whitening results last?

    Results vary depending on the treatment and your habits. Maintaining good oral hygiene and avoiding stain-causing foods and drinks can help extend results. We’ll give you tailored aftercare advice for lasting outcomes.

  • What if I have sensitive teeth?

    We take sensitivity seriously. Before starting any treatment, we assess your dental health and recommend gentle, effective options that suit your needs. Your comfort is a top priority.

Looking for a Brighter Smile?

Book a consultation with our dental team to explore safe, professional treatments for stained teeth and regain your confidence.

Teeth Gaps

Close-up of a woman's smile showing bright white, evenly spaced teeth with no visible gaps

Safe, Professional Treatment for Gapped Teeth

Close unwanted gaps with clinically led treatments tailored to your needs. We provide expert care, clear guidance, and a calm, respectful approach every step of the way.

Book My Consultation

Prefer to Chat?

Effective Treatment Options for Gapped Teeth

View All Treatments

Untreated Gaps Can Lead to More Than Cosmetic Issues

A gap between teeth, especially front teeth, can cause shifting, bite misalignment, or make cleaning more difficult. Over time, this can increase the risk of decay and gum disease.

Book My Consultation

Expert Care.
Always.
We know every smile is unique. That’s why our treatments for diastema (gaps between teeth) focus on clinical expertise, long-term oral health, and your personal comfort. Whether your concern is cosmetic or functional, we’ll help you find a suitable, medically sound solution.

Book My Consultation

  • Person inserting a clear dental aligner over their upper teeth against a yellow background

    Personalised Treatment Plans

    Your care, your pace

    We take the time to understand your goals and recommend treatment options that align with your oral health, lifestyle, and preferences.

  • Close-up of a dentist using a dental mirror and scaler to examine a patient's teeth and gums

    Delivered by Dental Professionals

    Expert guidance, every step

    All assessments and treatments are carried out by qualified clinicians with experience in managing gaps between teeth.

  • Young woman smiling whilst inserting a clear dental aligner to close teeth gaps, against a yellow background

    Focused on Sustainable Results

    Designed for long-term health

    We go beyond aesthetics—our aim is to achieve a healthy, stable smile that lasts with the right care.

Your
Trusted
Experts
With Dr. Maini and our leading team of medical professionals, you’re guided by experience, compassion, and integrity - every step of your journey.
Dentist in blue gloves using a rotary dental tool on a patient's open mouth with visible teeth gaps

Book My Consultation

Frequently
Asked
Questions

View All

Have questions about acne treatment? We’ve answered some of the most common concerns below.
  • What causes a gap between front teeth?

    A gap between the front teeth, called a diastema, can result from genetics, differences in tooth size, gum issues, or habits like thumb-sucking. A professional assessment will help identify the cause in your case.

  • What are my options for closing teeth gaps?

    Depending on the cause and size of the gap, treatment options may include orthodontics (braces or clear aligners), composite bonding, veneers, or other restorative techniques. We'll guide you through the most suitable options for your needs.

  • Is treatment for gapped teeth purely cosmetic?

    Not always. While many people seek treatment for aesthetic reasons, gaps can also impact bite alignment, speech, or oral hygiene. We assess your full oral health before recommending a treatment plan.

  • Will closing a gap affect my speech?

    In some cases, closing a gap may improve speech clarity, especially if the space affects tongue placement. Any likely changes will be discussed during your consultation.

  • How long does treatment usually take?

    Treatment times vary depending on the method. Orthodontic solutions may take several months, while cosmetic bonding or veneers can often be completed in one or two visits.

Ready to Explore Your Options?

Book a consultation to discuss your concerns about gapped teeth. We'll explain your options clearly and honestly, with no pressure.

Underbite

Woman with curly hair laughing broadly, showing white teeth, against a light blue background

Underbite Treatment by Trusted Dental Experts

Feel confident and comfortable with personalised underbite correction from experienced dental professionals focused on your health, function, and long-term care.

Book My Consultation

Prefer to Chat?

Tailored Solutions for Underbite Correction

View All Treatments

Why Treating an Underbite Is Important

If left untreated, an underbite can cause jaw pain, difficulty chewing, speech issues, and long-term tooth wear. Early treatment supports better oral health and overall wellbeing.

Book My Consultation

Expert Care.
Always.
We offer a medically led, patient-first approach to underbite treatment. Every care plan is built on clinical expertise, open communication, and your comfort throughout the process.

Book My Consultation

  • Person inserting a clear dental aligner over their upper teeth against a yellow background

    Personalised Underbite Treatment Plans

    Care designed around you

    We evaluate your jaw alignment and dental structure to recommend the most effective orthodontic solution for your underbite—tailored to your goals and lifestyle.

  • Close-up of a dentist examining a patient's teeth using a dental mirror and orange-handled scaler tool

    Supportive, Compassionate Dental Care

    Your comfort comes first

    From your first consultation to your final results, we ensure you feel informed, comfortable, and supported throughout your underbite treatment journey.

  • Smiling young woman inserting a clear dental aligner against a yellow background

    Experienced Orthodontic Professionals

    Backed by dental expertise

    Our team combines advanced training with years of experience in jaw alignment and orthodontic care, delivering safe and effective results.

Your
Trusted
Experts
With Dr. Maini and our leading team of medical professionals, you’re guided by experience, compassion, and integrity - every step of your journey.
Dentist wearing a blue turban, mask and gloves treating a patient's teeth in a dental surgery

Book My Consultation

Frequently
Asked
Questions

View All

Have questions about acne treatment? We’ve answered some of the most common concerns below.
  • What is an underbite and how is it treated?

    An underbite happens when the lower teeth extend beyond the upper teeth. Treatment may include braces, clear aligners, or jaw surgery, depending on severity and age. We’ll help you choose the most suitable option.

  • Is underbite treatment painful?

    Most orthodontic treatments involve only mild discomfort as your teeth and jaw adjust. We use modern techniques to minimise pain and provide ongoing support.

  • How long does underbite treatment take?

    Treatment time depends on the method used and the complexity of your case. On average, it ranges from 12 to 36 months. We’ll give you a clear timeline during your consultation.

  • Can adults receive underbite treatment?

    Absolutely. While early treatment is ideal, many adults benefit from underbite correction. We offer customised options suitable for patients of all ages.

  • Will my speech or eating improve after treatment?

    Many patients notice clearer speech and easier chewing after underbite correction, depending on the severity of the original alignment.

Book Your Underbite Consultation Today

Speak with our trusted dental team about your underbite. Schedule a personalised assessment and explore your treatment options with confidence.

Unsightly Crowns

Crown Replacement for a Natural-Looking Smile

Restore your confidence with expert replacement of worn, discoloured, or poorly fitted dental crowns—delivered with precision and care.

Book My Consultation

Prefer to Chat?

Expert Dental Crown Replacement Services

View All Treatments

Why It's Important to Replace Old Dental Crowns

Damaged or outdated crowns can impact both your appearance and oral health. Timely replacement by experienced professionals helps maintain proper function, prevent discomfort, and enhance your smile.

Book My Consultation

Expert Care.
Always.
Whether you're unhappy with the look or feel of an existing crown, or you've noticed changes in comfort or fit, we're here to help. Our patient-first approach combines clinical expertise with compassionate care—from your initial consultation to the final placement.

Book My Consultation

  • Person fitting a clear dental aligner over their upper teeth against a yellow background

    Natural-Looking Dental Crown Replacements

    Tailored to You

    We use high-quality materials and precise shade matching to ensure your new crown blends seamlessly with your natural teeth.

  • Close-up of a dentist using a dental mirror and scaler to examine a patient's teeth and gums during a check-up

    Enhanced Fit and Bite Alignment

    Comfort and Function

    A well-fitted crown restores bite function and helps reduce strain on surrounding teeth and jaw joints.

  • Smiling young woman inserting a clear dental aligner against a bright yellow background

    Experienced and Compassionate Dentistry

    Trusted Clinical Care

    Our skilled dental team prioritises your comfort, safety, and long-term oral health with every crown replacement procedure.

Your
Trusted
Experts
With Dr. Maini and our leading team of medical professionals, you’re guided by experience, compassion, and integrity - every step of your journey.
Clean dental treatment room with a purple patient chair, overhead light, X-ray equipment, and white cabinetry

Book My Consultation

Frequently
Asked
Questions

View All

Have questions about acne treatment? We’ve answered some of the most common concerns below.
  • How can I tell if my crown needs replacing?

    Signs include discomfort, visible wear or damage, a loose fit, or dark lines near the gum. A professional evaluation can confirm whether replacement is needed.

  • What materials are used for new dental crowns?

    We offer a variety of clinically approved materials such as porcelain and ceramic, chosen based on the tooth’s location, your preferences, and aesthetic goals.

  • Is dental crown replacement painful?

    We use local anaesthetic to ensure a comfortable experience. Most patients report minimal discomfort and an easy recovery.

  • How long will my new crown last?

    With good care and regular dental check-ups, high-quality crowns can last 10 to 15 years or longer. We'll guide you on how to maintain them for lasting results.

  • Will my new crown match my natural teeth?

    Absolutely. We carefully match the colour and shape of your new crown to your existing teeth for a seamless, natural appearance.

Ready to Replace Your Dental Crown?

Book a consultation today to explore your options for replacing old crowns and restoring your smile with confidence.

Veneers

Feel confident in your smile again

Dental Veneers for Natural-Looking Results

Premium dental veneers tailored to your individual needs. Whether you're enhancing your smile cosmetically or repairing damaged teeth, we’re here to make sure you feel informed, supported, and comfortable throughout your treatment.

Book My Consultation

Prefer to Chat?

Frequently
Asked
Questions

View All

Considering dental veneers is a personal choice, and it’s completely natural to have questions. Below are answers to some of the most frequently asked questions from patients exploring veneers for cosmetic or restorative reasons.
  • What are dental veneers and how do they work?

    Dental veneers are thin, custom-made shells that are bonded to the front surface of your teeth. They improve the appearance of teeth that are discoloured, chipped, misaligned, or worn. Each veneer is precisely crafted and shaded to blend seamlessly with your natural smile.

  • Am I a suitable candidate for dental veneers?

    You may be a good candidate for veneers if you have healthy teeth and gums but want to improve the appearance of certain teeth. We’ll carry out a full assessment and discuss your goals to determine if veneers are the right solution for you.

  • How long do dental veneers last?

    With proper care, dental veneers can last between 10 and 15 years or more. Their longevity depends on good oral hygiene, bite alignment, and avoiding habits like nail-biting or using your teeth to open packaging.

  • What’s the difference between composite and porcelain veneers?

    Composite veneers are applied directly to the tooth in a single visit, while porcelain veneers are custom-made in a dental lab and typically require two appointments. Porcelain veneers are generally more durable and resistant to staining.

  • Can old or damaged veneers be replaced?

    Yes, replacing veneers is a common procedure, especially if they’ve aged, become damaged, or no longer meet your aesthetic goals. We'll assess your current veneers and recommend the best course of action.

The Process

  • Pre-Treatment

    Before starting treatment, we’ll conduct a comprehensive dental assessment and talk through your goals. This includes checking gum health, bite alignment, and the condition of your teeth to ensure veneers are a safe and suitable option. We’ll also take impressions or digital scans to begin your personalised treatment plan.

  • Treatment

    The veneer process usually involves preparing the tooth surface, taking a precise scan, and fitting temporary veneers while your permanent ones are crafted. Once ready, the final veneers are securely bonded to your teeth using a strong dental adhesive—typically completed over two visits.

  • Post-Treatment

    After your veneers are fitted, we’ll provide clear guidance on how to care for them. Maintaining good oral hygiene, attending regular dental check-ups, and avoiding excessive pressure on your veneers will help preserve their look and function. Any initial sensitivity should settle quickly.

  • Sides Effects & Risks

    Dental veneers are generally safe, but minor risks include temporary sensitivity or gum irritation. In rare cases, veneers can chip or loosen over time. We’ll explain all potential outcomes before treatment to ensure you’re fully informed.

Book My Consultation

Why treating dental issues matters

Chipped, worn, or discoloured teeth can affect both your confidence and your oral health. If left untreated, these problems may worsen or lead to more serious dental concerns.

Book My Consultation

Expert Care.
Always.
Our expertly planned veneer treatments focus on comfort, safety, and natural-looking results—helping you restore both function and confidence in your smile.

Book My Consultation

  • Person inserting a clear dental aligner over their upper teeth against a yellow background

    Tailored to You

    Custom veneer solutions

    Every smile is unique. We take the time to understand your goals and design veneers that complement your features, preferences, and dental health.

  • Close-up of a dentist using a mirror and dental scaler to examine a patient's white veneers during a dental treatment

    Led by Clinical Expertise

    Skilled planning and care

    Our treatments are delivered by experienced dental professionals who prioritise your safety, comfort, and long-term results at every stage.

  • Smiling young woman inserting a clear dental aligner against a bright yellow background

    Natural Appearance

    A confident smile that looks like you

    We use high-quality materials and expert shade matching to ensure your veneers look natural and blend beautifully with your existing teeth.

  • Close-up of a woman smiling, showing upper and lower teeth with dental veneers on the front upper teeth.

    Continued Care

    Support beyond the procedure

    From your initial consultation to long-term aftercare, we’re here to guide you with clear information, regular reviews, and expert advice to help you maintain your veneers.

Your
Trusted
Experts
With Dr. Maini and our leading team of medical professionals, you’re guided by experience, compassion, and integrity - every step of your journey.
Two dental professionals wearing surgical caps, face masks, and protective eyewear focused on performing a veneer treatment procedure.

Book My Consultation

Book Your Dental Veneer Consultation

Speak with our experienced dental team to find out if veneers are right for you. We’ll walk you through your options with clarity, care, and expert guidance.