What Does The iTero Intraoral Scanner Do?
With technological advancements constantly impacting the world of dentistry, the dental patient experience has evolved substantially. It’s well known that for many of us, the thought of visiting the dentist is one that brings about feelings of fear and nervousness. However, things are changing… At Zenith Dental Clinic, we offer digital scanning using the iTero intraoral scanner. This revolutionary piece of technology produces extremely accurate 3D impressions of the teeth and gums. Essentially, through having an iTero scan, patients can avoid the often uncomfortable experience of having dental impressions taken using putty. The iTero scanner works by capturing detailed images (over 6,000 images per second!) within the mouth which are then stitched together to create a 3D model. This model can be evaluated by both dentists and patients in real time and can also be viewed in different modes. iTero scans not only provide the perfect step for beginning the journey to achieving your dream smile, but they also provide a diagnosis of your oral health.
The Benefits of Having an iTero Scan
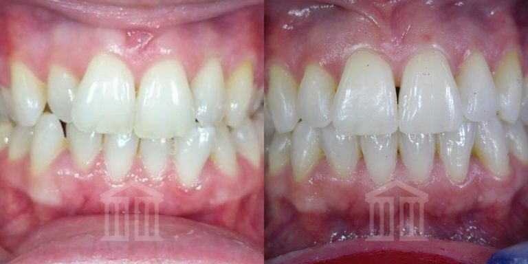
Digital dentistry not only supports the patient experience, but also the experience of dentists. The iTero intraoral scanner significantly improves the accuracy and detail that is fed into the treatment planning process. Here are some of the wonderful perks that iTero scanning offers for patients and dentists: Quick, Convenient & Comfortable! Alongside being a lot more timesaving than previous methods and technologies, iTero scanning also offers optimal comfort! Extremely accurate 3D impressions of the teeth and gums are created without the need for any external substances, such as dental putty (which many find to feel unpleasant and uncomfortable). Immediate Feedback A major factor behind the timeliness of the iTero scanning process is the fact that it offers immediate feedback. 3D imaging of the teeth and gums are caught in real time! The technology behind the iTero scanner supports dental professionals with capturing every part of the teeth and gums, resulting with the most accurate of 3D impressions. Accurate Diagnosis of Oral Health The 3D imaging produced by the iTero scanner does not only support the treatment planning process. These scans also provide a means for conducting an in-depth oral assessment of the mouth. This feature symbolises how versatile the scanner is. From producing digital impressions, to assessing oral health, the benefits that can be gained from an iTero scan are plentiful. Interactive – Treatment Co-Planning and Results Simulations! The on-screen 3D models that are produced by the iTero scanner can be interactively assessed by both patients and dentists. This allows for patients to identify which areas they would like to improve. Following this, the iTero scanner can present simulations to show how a patient’s teeth could look following treatment. The interactivity involved in the iTero scanning process supports the crafting of treatment plans that are carefully co-planned by both dentists and patients. https://www.youtube.com/watch?v=2kry7RocNkM&t=16s [caption id="attachment_4597" align="alignnone" width="768"]
Invisalign patients can plan their target outcomes following an iTero scan.[/caption]
iTero Scanning at Zenith Dental Clinic, Nottingham
At Zenith Dental Clinic, iTero scans are performed by a wonderful member of our highly trained team of experts. To read about the 3D dental scanning experience at our clinic in detail, click here. All scans are carried out in a calm and confidential environment. It’s crucial for us to make your experience at our clinic, as comfortable and as pleasant as possible. Alongside the creation of a 3D model of your teeth and gums, an iTero scanning consultation with us also includes an in-depth oral health assessment. At Zenith Dental, iTero scans are FREE OF CHARGE. To secure your FREE iTero scan, please click here or give us a call on 0115 959 6999.
What Does The iTero Intraoral Scanner Do?
With technological advancements constantly impacting the world of dentistry, the dental patient experience has evolved substantially. It’s well known that for many of us, the thought of visiting the dentist is one that brings about feelings of fear and nervousness. However, things are changing… At Zenith Dental Clinic, we offer digital scanning using the iTero intraoral scanner. This revolutionary piece of technology produces extremely accurate 3D impressions of the teeth and gums. Essentially, through having an iTero scan, patients can avoid the often uncomfortable experience of having dental impressions taken using putty. The iTero scanner works by capturing detailed images (over 6,000 images per second!) within the mouth which are then stitched together to create a 3D model. This model can be evaluated by both dentists and patients in real time and can also be viewed in different modes. iTero scans not only provide the perfect step for beginning the journey to achieving your dream smile, but they also provide a diagnosis of your oral health.
The Benefits of Having an iTero Scan
Digital dentistry not only supports the patient experience, but also the experience of dentists. The iTero intraoral scanner significantly improves the accuracy and detail that is fed into the treatment planning process. Here are some of the wonderful perks that iTero scanning offers for patients and dentists: Quick, Convenient & Comfortable! Alongside being a lot more timesaving than previous methods and technologies, iTero scanning also offers optimal comfort! Extremely accurate 3D impressions of the teeth and gums are created without the need for any external substances, such as dental putty (which many find to feel unpleasant and uncomfortable). Immediate Feedback A major factor behind the timeliness of the iTero scanning process is the fact that it offers immediate feedback. 3D imaging of the teeth and gums are caught in real time! The technology behind the iTero scanner supports dental professionals with capturing every part of the teeth and gums, resulting with the most accurate of 3D impressions. Accurate Diagnosis of Oral Health The 3D imaging produced by the iTero scanner does not only support the treatment planning process. These scans also provide a means for conducting an in-depth oral assessment of the mouth. This feature symbolises how versatile the scanner is. From producing digital impressions, to assessing oral health, the benefits that can be gained from an iTero scan are plentiful. Interactive – Treatment Co-Planning and Results Simulations! The on-screen 3D models that are produced by the iTero scanner can be interactively assessed by both patients and dentists. This allows for patients to identify which areas they would like to improve. Following this, the iTero scanner can present simulations to show how a patient’s teeth could look following treatment. The interactivity involved in the iTero scanning process supports the crafting of treatment plans that are carefully co-planned by both dentists and patients. https://www.youtube.com/watch?v=2kry7RocNkM&t=16s [caption id="attachment_4597" align="alignnone" width="768"]
Invisalign patients can plan their target outcomes following an iTero scan.[/caption]
iTero Scanning at Zenith Dental Clinic, Nottingham
At Zenith Dental Clinic, iTero scans are performed by a wonderful member of our highly trained team of experts. To read about the 3D dental scanning experience at our clinic in detail, click here. All scans are carried out in a calm and confidential environment. It’s crucial for us to make your experience at our clinic, as comfortable and as pleasant as possible. Alongside the creation of a 3D model of your teeth and gums, an iTero scanning consultation with us also includes an in-depth oral health assessment. At Zenith Dental, iTero scans are FREE OF CHARGE. To secure your FREE iTero scan, please click here or give us a call on 0115 959 6999.